本期解读
一、研究背景
如今,生物降解有机废物作为应对环境挑战的解决方案受到了广泛关注。双翅目昆虫黑水虻(BSF),尤其是其幼虫(BSFL),具有将有机废物转化为蛋白质和脂质资源的出色能力,因此引起了人们的极大兴趣。然而,除了其回收利用效率外,BSF的基础生物学信息仍然有限。
二、研究结果
1.BSFL中蛋白质变化分析
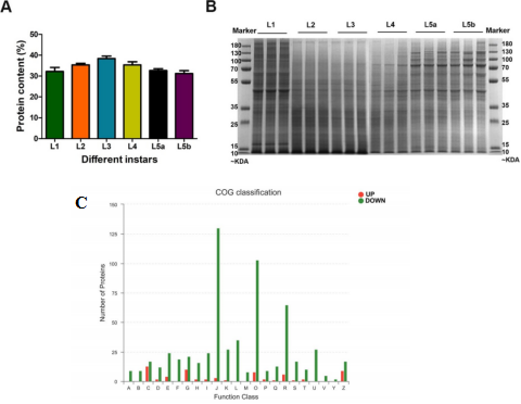
图1为不同龄期BSFL蛋白的分析,结果表明蛋白质含量差异不明显(30-40%),但BSFL L1-L5b的总可溶性蛋白质含量存在差异,蛋白质含量从L1到L3逐渐增加,从L3到L5b逐渐降低,L3的蛋白质含量最高。从SDS-PAGE可观察到L1到L5b每个龄期的蛋白质分布各不相同,L1、L4、L5a、L5b在50 kD处有明显条带,L4、L5a、L5b在80 kD处有明显条带,从L2到L4的蛋白质分子量低至35 kD。然而,对于L5a和L5b,出现了分子量高于100 kD的蛋白质。研究进一步比较了L3和L5的蛋白质,并对COG数据库中的差异蛋白进行了注释(图1C),可以推断大多数差异蛋白都参与了转录、核糖体结构和生物过程。

图1 不同龄期BSFL蛋白的分析。(A) 不同龄期BSFL的蛋白质含量;(B) 不同龄期的 BSFL 蛋白的 SDS-PAGE;(C) COG数据库中L3和L5之间的差异蛋白。
2.BSFL蛋白的功能注释
如表1TMT分析所示,研究总共检测到5036个蛋白质,COG数据库中有1331个蛋白质注释,GO数据库中有3348个蛋白质注释,KEGG数据库中有2466个蛋白质注释,在Pfam数据库中有3566个蛋白质注释,在Subcell-Location数据库中有3905个蛋白质注释,这些蛋白在COG、GO、KEGG、Pfam和Subcell-Location数据库中的比例分别为26.43、66.38、48.97、70.81和77.54%。因此,蛋白质注释的最高数量为3905,即有3905个蛋白质具有功能注释。

为获得BSFL在其所有发育阶段的蛋白质分布及其对应的功能,研究进一步进行了GO功能分析(图2)。根据细分程度分为level2、level3、level4,主要从生物过程(BP)、细胞成分(CC)和分子功能(MF)三个方面对BSFL的蛋白质进行分类注释。如图2A所示,level2下BP有10个主要过程,丰度最高的蛋白与细胞过程、代谢过程和单一生物过程有关。在level3(图2E),大部分蛋白质在有机物代谢过程、初级代谢过程和细胞代谢过程中聚集,这意味着活跃的新陈代谢可能在BSFL的快速生长中起重要作用。图2B显示level2下的CC中,与细胞、细胞部分和细胞器相关的蛋白质数量分别为1671、1627和1166。而在MF的10个主要过程中,与结合和催化活性相关的蛋白质显着(图2C)。在level3下蛋白质与离子结合、有机环状化合物结合和杂环化合物结合有关,表明这些活动在分子水平上参与了有机循环。此外,由图2D的KEGG通路分析获得的43条通路中可观察到共有230个蛋白质参与碳水化合物代谢,158个蛋白质参与氨基酸代谢,144个蛋白质参与脂质代谢,这些蛋白质都与新陈代谢活动相关。同时,有228种蛋白质被证明参与了细胞过程中的转运和分解代谢途径,75条通路与消化系统有关。总的来看,这些蛋白质大部分都参与了生物系统中的内分泌系统和免疫系统,表明这些蛋白质在所有器官活动中在内分泌和免疫器官中最为活跃。

图2 level 2、level 3、level 4下蛋白质数量的GO分类图和BSF的KEGG分析。(A) BP下不同功能的蛋白质数量;(B) CC下不同功能的蛋白质数量;(C) MF下不同功能的蛋白质数量;(D) KEGG分析不同途径的蛋白质数量;(E) level 3的GO分类图;(F) level 4的GO分类图。
3.BSFL不同龄期差异蛋白表达分析
研究分析了从 L1、L2、L3 和L4到L5a和L5b的每个龄期BSFL的蛋白质表达,来分析每个发育阶段的差异表达和蛋白质分布。如 PCA图所示(图3A),不同龄期的蛋白质分布不同,L1和L2在蛋白质分布上存在明显差异,这可能是由于L2的BSFL已开始食物摄入并产生代谢过程,而L1的BSFL刚刚孵化并没有开始食物摄入。由相邻龄期蛋白质谱的比较可知更多的蛋白质在L2和L5a上调和下调,与PCA分析一致(图3B-F)。进一步对BSFL生命期间三种途径(胰岛素信号、脂肪酸生物合成、toll/IMD通路)中的蛋白质变化进行研究(图3G-I)。在胰岛素信号通路中共检测到46种蛋白质,在脂肪酸生物合成通路中检测到22种蛋白质,在toll/IMD通路中检测到26种蛋白质。对于胰岛素信号通路,上调的蛋白质从L3增加到L4再减少到L5b,这一趋势对应于这一时期BSFL的增长率,并且胰岛素信号通路与昆虫生长速度密切相关。对于脂肪酸生物合成通路,大部分上调蛋白出现在L2、L3和L4,大部分下调蛋白出现在L5a和L5b,最大的变化发生在L1和L2之间,L4之后几乎没有上调的蛋白质。对于toll/IMD通路,上调蛋白和下调蛋白的数量从L4下降到L5a和L5b,这意味着在此期间toll/IMD通路中的蛋白质变化越来越小。

图3 (A) 不同龄期蛋白质的PCA分析、(B-F) 相邻龄期蛋白质谱的比较及(G-I) BSFL生命期间三种途径(胰岛素信号、脂肪酸生物合成、toll/IMD通路)中的蛋白质变化。
3.BSFL不同龄期蛋白质聚类分析
作者进一步分析了BSFL生命周期中蛋白簇的变化,以对蛋白质的变化进行分类和分析。如图4A所示,胰岛素信号通路中L1龄期的大部分蛋白质表达水平更高,相比之下,L5a和L5b的大多数蛋白质表达程度较低。从L1到L5b,15个蛋白下调,3个蛋白上调,7个蛋白质先上调后下调。另外,糖原磷酸化酶(HiOGS03358)从L1到L5b快速升高,这可能与BSFL的持续能量需求有关。糖原代谢与昆虫的生长代谢有关,糖原磷酸化酶是糖原代谢中为生长提供能量的重要蛋白质之一。糖原磷酸化酶还参与几丁质合成,随着BSFL的发育,几丁质结晶逐渐增加,与文章检测到的糖原磷酸化酶的变化一致。对于脂肪酸生物合成通路,大多数蛋白质在L1处低表达(图4B),从L2到L4表达水平增高,表明脂肪酸生物合成在L2-L4龄期活跃。乙酰辅酶A羧化酶(HiOGS00269)和脂肪酸合酶(HiOGS07375)从L2到L4呈现高表达,在L2时最高,进一步证明了脂肪酸生物合成的活跃,因为乙酰辅酶A羧化酶和脂肪酸合酶是脂肪酸生物合成中的两个重要因素。对于toll/IMD通路,FAS相关因子1(HiOGS03357) 和核因子NF-κB抑制剂(HiOGS03357) 在幼虫生命期间减少(图4C)。FAS相关因子1和NF-κB抑制剂参与了抗菌肽的负调节。此外,NF-κB抑制剂还是toll/IMD通路和免疫反应中的关键蛋白,因此证明其对环境的免疫反应逐渐增强。

图4 三种途径的蛋白质聚类分析及蛋白质名称。(A) 胰岛素信号通路的蛋白质聚集;(B) 脂肪酸生物合成途径的蛋白质聚集;(C) 收费/IMD 通路的蛋白质聚集。
四、结论
该研究分析了BSFL不同龄期的蛋白质组学差异以及三种重要通路的蛋白变化。L2、L3和L4的蛋白质之间没有明显差异,L5a和L5b的蛋白质也相似。结果显示,46个蛋白与胰岛素信号通路相关,22个蛋白与脂肪酸生物合成通路相关,26个蛋白与toll/IMD通路相关。胰岛素信号通路中的大多数蛋白质从L1到L3高表达,脂肪酸生物合成中的大多数蛋白质从L2到L4高表达。此外,toll/IMD通路中抗菌肽的负调节因子从L1减少到L5b。该研究有助于系统了解BSFL的蛋白质组学和参与不同途径的基因,为未来不同功能基因编辑提供参考。
文章链接:
https://doi.org/10.1021/acs.jproteome.0c00736
参考文献:
(1) Tomberlin, J. K.; van Huis, A. Black soldier fly from pest to
“crown jewel” of the insects as feed industry: an historical perspective.
J. Insects Food Feed 2020, 6, 1−4.
(2) Oonincx, D. G. A. B.; Laurent, S.; Veenenbos, M. E.; van Loon,
J. J. A. Dietary Enrichment of Edible Insects with Omega 3 Fatty
Acids. Insect Sci. 2020, 27, 500−509.
编辑丨zhenzhen L
审核丨Tao Li


